(Πηγή: www.techgear.gr)
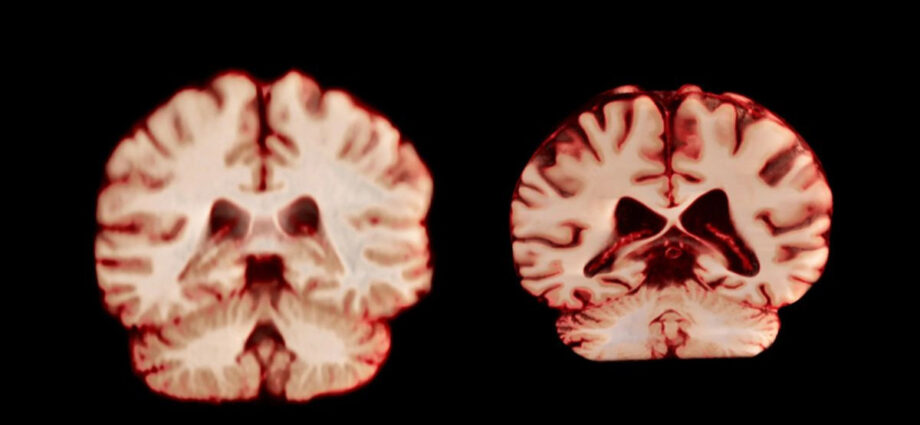
Είναι ένα από τα πιο αινιγματικά και σκληρά παράδοξα της σύγχρονης νευρολογίας. Οι γυναίκες διαγιγνώσκονται με Alzheimer σχεδόν δύο φορές συχνότερα από τους άνδρες. Για χρόνια, η επιστήμη προσπαθούσε να εξηγήσει το γιατί και η πιο διαδεδομένη υπόθεση ήταν ότι οι γυναικείοι εγκέφαλοι απλώς γερνούν ταχύτερα. Όμως, μια νέα μελέτη έρχεται να ανατρέψει τα δεδομένα: στην πραγματικότητα, ο ανδρικός εγκέφαλος φαίνεται να γερνά πιο γρήγορα και να συρρικνώνεται περισσότερο.
Η έρευνα, που δημοσιεύτηκε στο Proceedings of the National Academy of Sciences (PNAS), καταρρίπτει την παλιά θεωρία και φέρνει στο φως κάτι απρόσμενο. Οι εγκέφαλοι των ανδρών φαίνεται να υφίστανται μεγαλύτερη φθορά… Πηγή

